Dugogodišnja percepcija da je kolorektalni karcinom "bolest starijih" počinje da popušta pod pritiskom nove naučne realnosti. Podaci prikupljeni tokom poslednjih decenija pokazuju sve značajniji porast obolelih mlađih od 50 godina - od Sjedinjenih Država do Evrope, Azije i Južne Amerike.

Najnovija studija objavljena u The Lancet Oncology, daje nove uvide o fenomenu o kom se dugo raspravljalo: od 2013 do 2017. godine, stope incidencije za kolorektalni karcinom su porasle u 27 od 50 zemalja uključenih u analizu, kod osoba mlađih od 50 godina.

Ishrana, moderan način života i genetika - faktori rizika

Među modernim urbanim pejzažima, na svakom ćošku mogu se naći prodavnice prepune rafova ultra-prerađene hrane, crvenog mesa i slatkih pića - namirnica koje nauka sve više povezuje s upalom i predispozicijom ka malignim promenama u telu. Ove promene u ishrani, zajedno sa smanjenom fizičkom aktivnošću i sve većim brojem gojaznih osoba, stvaraju optimalno tlo za narušavanje zdravlja creva.

Ultraprerađena hrana_2534214261.jpg
Foto: Shutterstock

Ali deo slagalice nisu samo naše navike, prema mišljenju stručnjaka. Nasleđe - u obliku genetskih mutacija, poput Linčovog sindroma ili porodičnom adenomatoznom polipozom - predstavljaju potencijalno upozorenje, pogotovo kod onih sa porodičnom istorijom bolesti. U tim slučajevima, rana genetska analiza i praćenje mogu biti razlika između života i smrti.

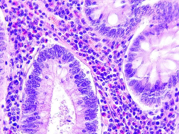
Moć ranog otkrivanja - i jaz koji se mora premostiti

U laboratorijama širom sveta, nove generacije genetskih testova nude nadu: od neinvazivnih testova iz stolice do preciznih alata koji detektuju rane znakove bolesti pre nego što se simptomi pojave. Ipak, ova naučna revolucija nailazi na izazov koji prerasta biologiju - pristup ovim testovima i javna svest o značaju ranog skrininga još uvek zaostaju.

Kolorektalni karcinom pod mikroskopom
Foto: Shutterstock

Mnogi nemaju pristup ovim tehnologijama, ili ne prepoznaju rane simptome: promene u pražnjenju creva, krv u stolici, neobjašnjiv gubitak težine ili dugotrajan bol.

Ove prepreke prikrivaju nadu koja postoji sa novim medicinskim dostignućima - čak i kada alati postoje, znanje i dostupnost ostaju problem.

Izazov koji se prema mišljenju stručnjaka ne može rešiti samo medicinskim inovacijama, već kolektivnim podizanjem svesti, obrazovanjem kako čitavih zajednica tako i pojedinaca, ali i opsežnim zdravstvenim politikama.

Situacija u Srbiji

U Srbiji, kolorektalni karcinom jedan je od najčešćih malignih tumora i predstavlja drugi najčešći uzrok obolevanja i smrtnosti od raka kod oba pola.

Svake godine se u Srbiji dijagnostikuje oko 4.500 novih slučajeva, a više od 3.000 ljudi umire od ove bolesti, što ukazuje na značajan javno‑zdravstveni izazov i relativno visoke stope incidencije i mortaliteta u odnosu na neke druge evropske zemlje.


Podaci iz studija koje obuhvataju duži vremenski period pokazuju da standardizovane stope obolevanja i smrtnosti od kolorektalnog karcinoma rastu, i da je bolest češće dijagnostikovana u uznapredovalim stadijumima, što dodatno otežava uspešno lečenje.

Zbog svega navedenog, u Srbiji postoji nacionalni program organizovanog skrininga za osobe starosti od 50 do 74 godine sa ciljem ranog otkrivanja bolesti, ali je i dalje naglašena potreba za unapređenjem edukacije stanovništva i većim obuhvatom skriningom.

Globalna odgovornost

Dok lekari i naučnici širom sveta pozivaju na jedinstvenu akciju, priča o ovom obliku raka počinje da poprima dimenziju nečeg što se tiče svakog od nas - ne samo kroz ličnu prevenciju, već kroz zajedničko shvatanje da se globalno zdravlje menja.

Pravovremeni skrining, uravnotežena ishrana, fizička aktivnost i genetsko savetovanje mogu postati ključni u eri u kojoj se granice između mladosti i bolesti pomeraju.

Izvori: TheLancet/ScienceDaily

Studija otkriva uvećanu stopu raka creva kod mladih
Foto: Prevencija kao garancija